
治疗经过
1、术前病例情况
青少年男性患者,15 岁,2014 年因癫痫大发作,于南方某大型三甲医院就诊,发现左侧颞顶枕海绵状血管畸形,完善术前准备后行开颅血管畸形部分切除术,术后长期规律口服抗癫痫药物。18 月前,患者因突发意识丧失伴肢体抽搐,复查 CT 示左颞顶枕脑出血,再次手术后仍有部分畸形残留。18 月来,患者一般情况可,自服抗癫痫药物治疗。入院 3 月前,患者无明显诱因突发言语不利,主要表现为舌体僵直,无法言语,持续数秒后自行缓解,于当地医院复查头部 MRI 平扫,不除外左颞枕出血可能,未予进一步处理。入院 2 周前,患者再次出现言语不利,具体表现形式同前,为求手术治疗,就诊于北京大学国际医院神经外科门诊,收入院。
查体:神志清楚,言语流利,对答良好,定向力可。双侧瞳孔等大等圆,对方反射灵敏,眼动充分,视力、视野粗测未见明显异常。面纹对称,伸舌居中,吞咽功能无明显障碍,四肢活动自如,肌力 V 级,肌张力正常,生理反射存在,病理征未引出,左颞顶枕陈旧手术切口瘢痕。
2、术前影像资料

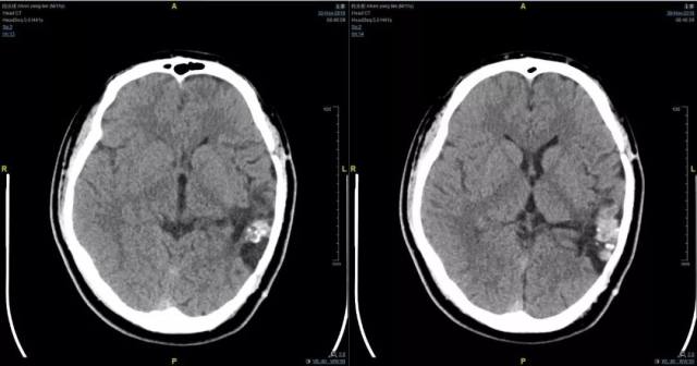
图 1 术前 CT:左颞顶枕术后;局部混杂密度影,考虑出血伴钙化,请结合临床。

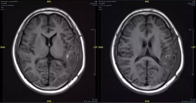
图 2 术前 MRI:左颞顶枕血管畸形术后;混杂信号;考虑畸形残余伴出血。

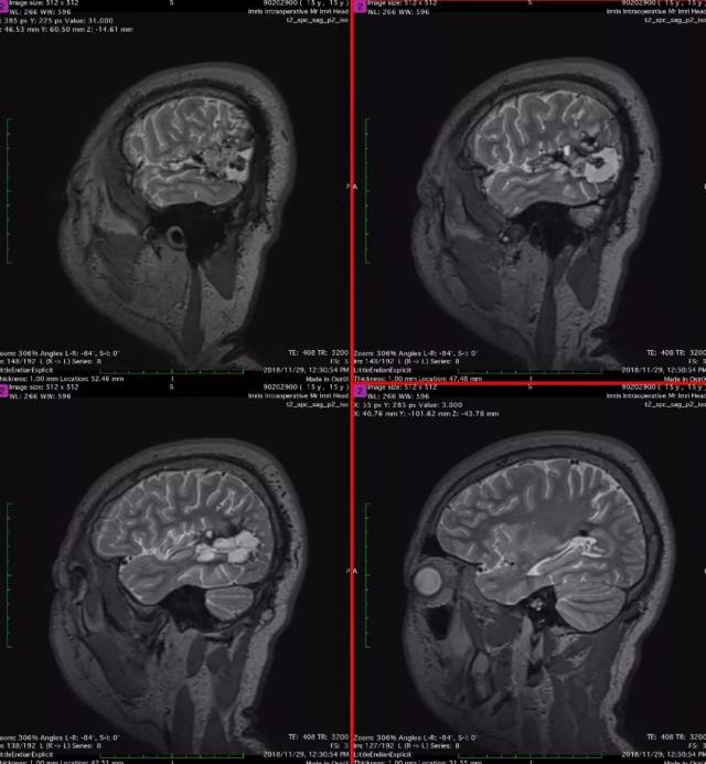
图 3 术前 T2 矢状位:左颞顶枕血管畸形术后;混杂信号;考虑畸形残余伴出血。
3、术前病例讨论

入院后,在神经外科赵元立主任医师、王嵘主任医师、叶迅副主任医师、曾春主治医师的协作下,患者的术前相关检查迅速完善,并在全科进行病例讨论。因为其多次手术病史且病变位于语言区,手术难度极大,如何保留语言功能、最大程度切除畸形血管团是在计划手术时医生们重点考虑的问题。经过术前的充分评估与宣教,通过与麻醉科姚兰主任带领的麻醉团队和神经内科刘献增主任医师带领的神经电生理监测团队的交流与讨论,最终计划实施术中唤醒开颅切除畸形血管病变。
4、术中情况
患者清醒状态下取右侧卧位,喉罩全身麻醉成功后,行局部神经阻滞。上头架固定,导航后常规碘酒酒精消毒后铺巾,局麻后沿原皮肤切口入路切口皮肤、皮下、肌肉,全层推开后见骨瓣部分吸收,骨质较薄,推离骨孔处附着粘膜,剪除颅骨锁缝扎线,以铣刀铣下原骨瓣,可见硬膜张力中等,与脑表面粘连紧密,放射状切开硬膜后可见局部结构紊乱,畸形血管团、陈旧出血、含铁血黄素环交杂,超声及导航明确病变位置后唤醒患者并取住喉罩,严密观察患者意识、生命体征变化,记录拟刺激区域周围皮层电活动背景,然后在语言任务中电刺激病变附近大脑皮层,搜寻并明确语言区后再次实施喉罩全麻。麻醉满意后沿病变周边分离,可见正常脑组织和病变之间有明显黄染机化的陈旧出血痕迹,多支细小动脉供血,电灼切断,语言区深方之病变予以钝性剥离,局部脑皮层保护完好。创面仔细止血,覆盖止血纤维,生理盐水冲洗清亮,确认无活动性出血。脑组织搏动好,正常脑组织血流未受损。护士清点棉条、棉片、纱布及器械无误后以人工硬脑膜修补。骨瓣复位,3 枚钛片固定。充分止血后逐层缝合。手术顺利,术中出血约 200 ml,输液 2600 ml,未输血,术后安返病房。标本送病理。
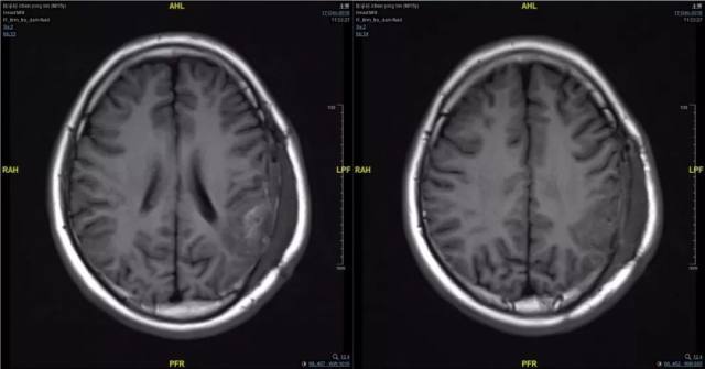
5、术后影像





6、病理

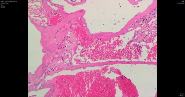
送检脑组织中可见畸形的血管成分,伴出血及血栓形成、机化,局灶可见钙化,伴多量含铁血黄色沉积,符合脑血管畸形,请结合临床。
免疫组化结果:CD31(血管+)、CD34(血管+),GFAP(+),CD68(局灶+),Ki-67(约 2%+)
特约专家点评
大脑功能区海绵状血管瘤以及 AVM 都是唤醒状态下切除手术的最佳手术适应症。本病例资料展示了北京天坛医院赵元立教授团队一例左顶下与颞后交界处复发的海绵状血管瘤通过术中唤醒下切除的手术过程。使患者的病变得到了比较好的切除,确保了患者的语言功能和良好的生存质量。
资料反映出术者较好的运用了脑功能区手术理念和有关技术。术中的外科手术切除操作精准娴熟。
在开展唤醒手术时,通常需要注意以下几个问题:
首先,要使患者完全唤醒并拔出喉罩,待呼吸完全平稳后再打开硬膜,这样可以防止患者在拔出喉罩过程中,因一过性颅内压增高导致脑膨出意外的发生;
再者,在定位功能区之后,应使病人在清醒状态下接受切除功能区附近病变的手术,在此过程中要密切监护在切除病变时患者可能出现的一些神经功能障碍表现,以便及时调整手术,防止严重误伤功能结构造成功能区损害。待重要功能结构附近的病变处理之后,方可使患者重新进入全麻状态。
清醒状态下切除功能区病变,实时监护患者的神经功能变化,是唤醒手术中最重要的步骤。在开展唤醒手术时,应当特别注意, 特别是对于扩大切除的病变,如弥漫性胶质瘤手术切除时尤为重要。
另外,海绵状血管瘤往往伴有癫痫发作。因此,在切除该病变之前和之后,都要进行皮层脑电图的检测,了解痫灶是否已经彻底切除,这是保证海绵状血管瘤切除质量的一个重要步骤。
我国 2018 版唤醒下切除大脑功能区胶质瘤手术指南已经发表,其中较详细论述各项技术的应用,并有较强的可操作性。这不仅仅是针对胶质瘤的手术切除,还对海绵状血管瘤,血管畸形或是癫痫的功能区病灶手术都具有重要的指导和参考意义。因此,在开展大脑功能区各种病变的手术切除时,认真研读参考该指南,并结合单位和患者实际情况,不断完善,总结提高,分享经验,使患者获益,使手术技术不断提高。
点评专家

王伟民 教授,主任医师,中国人民解放军南部战区总医院 (原广州军区总医院) 神经外科及脑病中心主任,神经医学专科医院原院长,博士生导师;在国内开创了全麻术中唤醒状态下大脑功能区手术技术得到了广泛认可,为最大安全切除胶质瘤探索出了新路。
本期术者简介

赵元立 教授,首都医科大学附属北京天坛医院神经外科主任医师、博士生导师,2015 年起兼任北京大学国际医院神经外科主任。 1996 年毕业于中国协和医科大学八年制医学专业,获得医学博士学位。此后一直在北京天坛医院神经外科工作。主要从事脑血管外科,颅脑肿瘤和创伤的临床工作及基础研究。包括脑动脉瘤、脑血管畸形,以及各种颅脑肿瘤的手术治疗。1998 年入选北京市科技新星计划,2000 年当选为北京市卫生系统先进个人。2003 年以来三次作为课题组成员获得国家科技进步二等奖。目前承担多项国家自然科学基金等科研项目。